根管治療症例集
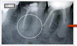
以下の症例でも根の先の溶けた歯が治療後には再生しています。
根管の治療前 根管の治療後
根管の治療前 根管の治療後
根管の治療前 根管の治療後
根管の治療前 根管の治療後
根管の治療前 根管の治療後
根管の治療前 根管の治療後
根管の治療前 根管の治療後
根管の治療前 根管の治療後
根管の治療前 根管の治療後
RET深田法を開発された深田邦雄先生に校閲していただいた症例写真です。
このウィンドウを閉じる このウィンドウを閉じる